headandneckcancer
조기진단이 가장 중요합니다
두경부암 :
구강암, 후두암, 인두암, 침샘암
두경부암은 뇌와 안구에 발생하는 종양을 제외하고, 얼굴·코·목·입안·후두·인두·침샘·갑상선에 발생하는 즉
머리와 목, 즉 이비인후과 진료 영역에 생기는 모든 암을 말합니다.
악성 종양(암)은 빠른 성장과 침윤,
원격 전이를 통해 생명에 위험을 초래하는 종양입니다.
두경부암은 발생 부위에 따라 대표적으로 구강암, 후두암, 인두암, 타액선암(침샘암) 등이 있으며 코 속에 암이 생기기도 합니다.
* 각 부위별로 발생하는 암의 명칭과 특징이 다릅니다.
검진 절차: 신체검사(내시경, 촉진) →
정밀검사(초음파,
CT) →
확진(조직검사)
두경부암은 조기 발견 시 예후가
좋습니다.
검진을 통해 두경부 의심 증상을
확인해보는 것이 좋습니다.
두경부암 치료는 복잡하고 어렵습니다.
또한 치료 후 후유증이 남을 수도 있습니다.
정기적인 예방 관리와
조기 검진이
가장 확실한 예방법입니다.
초기 두경부암 대상
수술 또는 방사선치료 중 하나를 선택
진행성 두경부암 대상
두 가지 이상의 치료방법을 병행 시행
두경부암 조기
진단의 의의
두경부암은 생기는 부위에 따라 성질이 다르고 치료방법도 차이가 있습니다. 수술, 방사선치료, 항암화학요법을 잘 선택하여 치료해야 하는데, 워낙 다양하고 드물어, 치료가 매우 어려운 암으로 알려져 있습니다. 치료 후에도 미용적으로 후유증이 크고, 말하고 숨 쉬고 음식을 삼키는 기능에 장애를 남기는 경우가 흔합니다.
두경부암의 조기진단은 매우 중요한데, 구강암이나 후두암은 조기 진단이 비교적 쉽고, 치료가 간단하고 대부분 큰 후유증 없이 완치될 수 있습니다. 쉽게 말해, 간단한 수술만으로도 완치율이 90%가 넘습니다.
진행성으로 진단된 경우에는 수술, 방사선치료, 항암화학요법의 세 가지 치료를 잘 조합하는 다학제 치료가 중요한데, 완치가 돼도 삶의 질을 떨어뜨리는 후유증을 남기는 경우가 흔합니다.
두경부암 치료
과정
두경부암으로 진단되면 치료 과정에 대해 상세하게 상담합니다. 초기 두경부암은 대부분 수술만으로 완치가 가능하며, 땡큐서울의원에서 직접 수술이 가능합니다. 풍부한 수술 경험으로 효과적인 치료가 될 수 있도록 최선을 다합니다.
진행성 두경부암은 수술 외에도 방사선치료, 항암화학요법 등 복합적인 치료가 필요합니다. 진행성 두경부암이라 하더라도 땡큐서울의원에서 수술이 가능한 상태이면 신속하고 정확한 수술을 시행한 후, 추가치료(방사선치료 및 항암치료)를 위해 대학병원으로 전원합니다. 이후 추적 관찰은 땡큐서울의원에서 할 수 있습니다.
대학병원에서 치료 해야 하는 상태이거나, 환자가 원하는 경우에는 전국 대학병원의 인적 네트워크를 이용하여 가장 적합한 병원, 교수에게 신속하게 의뢰합니다.
입 안에 생기는 악성종양
구강암은 입술·혀·잇몸·구강저(입바닥)·볼 점막·구개(입천장) 등 구강 내 조직에 발생하는 악성 종양을 말합니다. 구강암의 90% 이상은 점막을 덮고 있는 편평상피세포에서 기원하는 편평세포암종(Squamous Cell Carcinoma)입니다.
주요 위험 인자로는 흡연, 음주, 인유두종바이러스(HPV) 감염이 있으며, 흡연과 음주가 동반될 경우 발생 위험이 급격히 높아집니다. 초기에는 구강 내 궤양이나 흰 반점, 붉은 반점 형태로 나타나지만 통증이 없는 경우가 많아 발견이 늦어지기 쉽습니다. 조기 발견 시 완치율이 높은 반면, 진행된 경우 주변 림프절 및 원격 전이로 이어질 수 있어 정기적인 구강 검진과 이상 증상의 조기 확인이 매우 중요합니다.

(당일 조직검사 3~5일 후 확진, 즉시 수술 가능)
구강암의 치료는 구강암의 진행 정도에 따라 다르지만,
수술이 가장 중요한 치료입니다.
초기 구강암은 수술 만으로 완치될 확률이 매우
높은 반면, 진행성 구강암은 수술 후에 항암화학방사선치료를 추가하더라도 치료가 어려운 경우가 종종
있습니다.
그만큼 구강암은 조기진단이
중요한 암입니다.
땡큐서울의원에서는 12년간 서울대학교병원 이비인후과 교수로 구강암의 진단과 수술, 재건 수술을 해 왔던 하정훈원장이 초기 구강암에 대해 직접 수술을 시행합니다.
진행성 구강암으로 재건 수술을 포함한 다학제적 치료가 필요한 경우에는 대학병원으로 신속하게 전원하여 환자가 가장 적합한 구강암치료를 받을 수 있도록 합니다.
초기 구강암은 수술치료로 완치가 가능합니다. 구강암은 육안으로 확인할 수 있기 때문에 입안 궤양 및 구내염이 3주 이상 지속된다면 구강암을 의심해보고 이비인후과 전문의를 통해 진단을 받는 것이 좋습니다.
땡큐서울의원에서는 외래진료 당일 조직검사가 가능하며 3~5일 후 조직검사 결과를 바탕으로 구강암 수술치료 계획을 세워 진행합니다.
후두 조직에 발생하는 악성 종양
후두암은 목소리를 만들고 호흡·삼킴 기능에 관여하는 후두 조직에 발생하는 악성 종양으로, 두경부암 중 비교적 흔한 암종에 속합니다. 후두암의 대부분은 후두 점막을 덮는 편평상피세포에서 기원하는 편평세포암종이며, 발생 위치에 따라 성문암·성문상암·성문하암으로 구분됩니다. 성문암(성대에 발생)이 전체의 60~70%로 가장 많고, 초기에 목소리 변화가 나타나 비교적 조기 발견이 가능합니다.
가장 중요한 위험 인자는 흡연으로, 흡연 기간과 흡연량에 비례하여 발생 위험이 높아집니다. 음주가 동반될 경우 위험도는 더욱 증가합니다. 주요 증상으로는 2주 이상 지속되는 쉰 목소리, 만성 기침, 목의 이물감, 삼킴 곤란, 호흡 곤란 등이 있으며, 진행된 경우 목에 멍울이 만져지기도 합니다. 후두암은 조기에 발견하면 방사선 치료 또는 내시경 레이저 수술만으로도 높은 완치율을 기대할 수 있어 이상 증상이 지속될 경우 즉시 전문의 진료를 받는 것이 중요합니다.
후두암을 진단하기 위해서는 간단한 후두내시경을 이용하여 후두를 관찰합니다. 위내시경과 달리 아주 간단하여 이비인후과 외래 진료실에서 바로 시행할 수 있습니다.
후두내시경검사에서 이상소견 발견 시 조직검사를 시행해야 합니다. 전신마취 후 후두미세수술이라는 방법으로 조직검사를 시행합니다.
땡큐서울의원 하정훈 원장은 2007년 후두암 레이저수술의 대가인 Dr. Steiner 교수(독일 괴팅겐대학)로부터 후두암 레이저수술 기법을 배운 후 2016년까지 서울대병원에 재직하며 후두암 레이저수술을 적극적으로 시행해 왔습니다.
땡큐서울의원에는 대학병원과 동일한 레이저 장비를 갖추고 후두암 레이저수술을 시행합니다.
수술(레이저수술 포함), 방사선치료, 병합요법
조기에
발견하고 진단한 초기(1기) 후두암은
간단한 레이저수술 만으로도 90%이상
완치됩니다.
땡큐서울의원에서는 첫 외래 진료날 후두내시경검사가 가능하며, 이상소견 발견 시 첫 내원 다음 날에 전신마취를 이용한 조직검사가 가능합니다.
후두암이 진단되면 치료 방법에 대해 자세히 상담하며 빠른 치료 계획을 수립합니다.
내시경 검사와 조직검사를 통한 조기 진단이 핵심
인두암은 코 뒤쪽에서 식도 위쪽까지 이어지는 인두 조직에 발생하는 악성 종양으로, 발생 위치에 따라 비인두암·구인두암·하인두암으로 구분됩니다. 대부분 편평세포암종이며, 구인두암의 경우 최근 인유두종바이러스(HPV) 감염과의 연관성이 높아지고 있습니다.
비인두암은 코막힘·귀 먹먹함·경부 림프절 종대가 초기 증상으로 나타나는 경우가 많고, 구인두암은 인후통·삼킴 곤란·목의 멍울, 하인두암은 삼킴 장애·목소리 변화가 주요 증상입니다. 인두는 해부학적으로 복잡한 구조를 가지고 있어 초기 증상이 모호한 경우가 많고, 발견 당시 이미 림프절 전이가 동반된 경우가 흔합니다. 내시경 검사와 조직검사를 통한 조기 진단이 치료 예후를 결정하는 핵심 요소입니다.
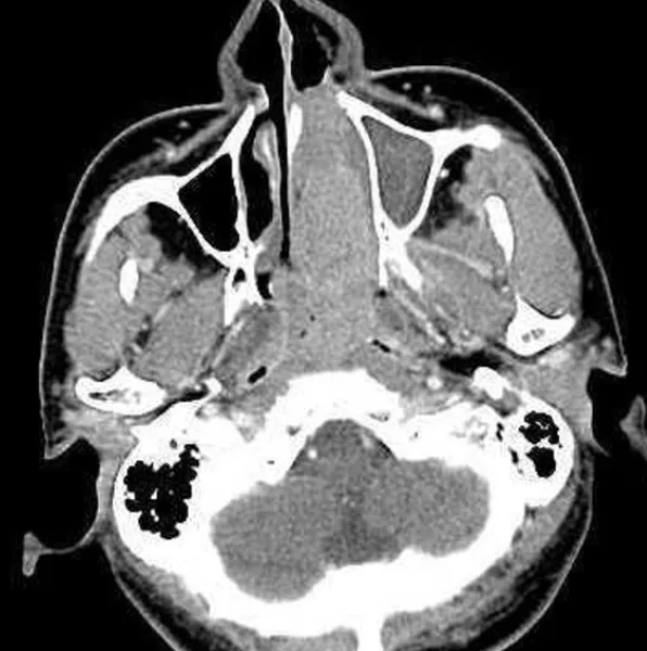
비인두암


비인두암은 코 안쪽의 인두에 생기는 암입니다. 대부분 엡스타인-바 바이러스(Ebstein-Barr Virus)에 의해 생기며, 쉽게 볼 수 없는 위치에 있어 처음 발견하기 어렵습니다. 성인이 한쪽 귀에 중이염이 반복해서 생기는 경우 의심해야 합니다.
비인두는 구조적으로 두개저와 붙어 있어 수술로 잘 제거할 수 없습니다. 다행히 방사선치료에 잘 듣는 편이어서 수술하지 않고 치료하며, 림프절까지 진행한 경우에는 방사선치료와 항암치료의 병합요법으로 치료합니다. 땡큐서울에서는 비인두암이 진단된 환자를 대학병원으로 신속하게 전원합니다.
(비인두암의비강 내시경 사진과 CT 소견 (비인두에서 시작된 암이 코 안을 가득 메울 정도로 진행한 상태))
구인두암
구인두암은 최근 조금씩 증가 추세에 있는 암인데, 인유두종바이러스(HPV)가 중요한 원인입니다. 편도암, 설기저암, 연구개암으로 나뉘며, 편도선에서 생기는 경우가 많습니다. 구인두암이 진행하여 림프절 전이가 생긴 후 목에 만져지는 멍울을 검사하다가 발견되는 경우가 많습니다.
구인두암은 두경부암 가운데 가장 치료 예후가 좋은 암입니다. 수술 단독 치료, 수술을 포함한 항암화학방사선치료, 수술 없이 시행하는 항암화학방사선치료 등 다양한 방법 중 선택하여 치료합니다.


(땡큐서울의원에서
진단된 오른쪽 편도암
(인유두종바이러스HPV 양성)의 수술 전 및 수술 후 사진)


(땡큐서울의원에서
진단된 오른쪽 편도암
(림프종으로 진단되어 항암화학요법으로 치료한 후 사진)
하인두암
하인두암은 후두 옆에 위치한 인두에 생기는 암인데, 후두암과 비슷한 양상을 보입니다. 대부분 특별한 증상이 없어서 조기 발견은 어렵습니다. 하인두암이 진행하면 후두를 침범하여 목소리가 나빠지고 먹는 것이 힘들어 질 수 있으며, 림프절 전이가 생기면 목 멍울이 만져지고 나서 진단되는 경우도 많습니다.
하인두암의 치료는 후두의 보존이 가능한지 여부에 따라 상당히 복잡합니다. 수술, 방사선치료, 항암화학요법 등 치료 방법들을 잘 조합해서 치료해야 합니다. 초기 하인두암으로 레이저수술이 가능한 경우에는 땡큐서울의원에서 직접 시행할 수 있으며, 그 외의 경우에는 신속하게 대학병원으로 전원합니다.
(땡큐서울의원에서 진단된 하인두암의 후두내시경 소견)
입 안에 생기는 악성종양
침샘암은 귀밑(이하선)·턱밑(악하선)·혀밑(설하선) 등의 대침샘과 구강·인두 점막에 분포하는 소침샘에서 발생하는 악성 종양입니다.
침샘에는 매우 다양한 종류의 세포가 존재하기 때문에 조직학적 유형이 다양하며, 점액표피양암종·선양낭성암종·선방세포암종 등이 대표적입니다. 침샘 종양의 약 20~25%가 악성으로, 이하선에서 가장 많이 발생합니다.
초기에는 귀 앞이나 턱 아래에 통증 없이 서서히 커지는 멍울로 나타나는 경우가 많습니다. 악성인 경우 종양이 주변 안면신경을 침범하여 안면마비가 동반되기도 하며, 피부 유착이나 경부 림프절 전이가 나타날 수 있습니다. 세침흡인세포검사만으로는 진단에 한계가 있어 수술 후 조직검사로 최종 확진하는 경우가 많으며, 악성도와 진행 정도에 따라 수술 후 방사선 치료를 추가하기도 합니다.
침샘은 따로 이름이 있는 주침샘(이하선, 악하선, 설하선)과 점막에 흩어져 있는 작은 부침샘이 있습니다. 주침샘에 생긴 침샘암은 침샘 이름에 따라(예, 이하선암, 악하선암, 설하선암)를 붙이고, 부침샘에 생긴 침샘암은 위치에 따른 이름(예, 구강암, 구인두암 등)을 붙입니다.
침샘에는 침을 만들고 분비하는 다양한 종류의 세포들이 모여 있어서, 침샘에 생기는 종양도 매우 다양합니다. 세계보건기구(2004년)에서 분류해 둔 침샘암만 25종이나 됩니다.
침샘암은 침샘 양성종양과 분리해서 생각할 수 없습니다. 수술 전에 정확하게 진단할 수 없어, 양성종양으로 생각하고 수술했다가 암으로 진단되는 경우도 종종 있습니다. 또한 원래는 양성종양이었다가 시간이 지나면서 암으로 변질되는 종양도 잘 알려져 있습니다.
악성도가 높은 침샘암은 귀밑이나 턱밑에 만져지는 혹이 빠른 속도로 자라고, 목에 림프절 전이가 되면 목 멍울이 같이 만져집니다. 드물게는 폐전이 소견을 먼저 발견하여 원인을 찾다가 침샘암을 발견하기도 합니다.
악성도가 낮은 침샘암은 침샘 양성종양과 마찬가지로 천천히 자라는 침샘의 멍울(혹)이 주증상입니다. 초음파검사 및 초음파검사 유도 세침흡인세포검사나 총생검, CT·MRI 같은 영상 검사로 진단합니다. 다만 너무나 다양한 침샘암이 있어 세포검사로는 진단에 한계가 있어 정확한 진단과 치료를 위해 수술로 제거해야 합니다.
땡큐서울의원에서는 침샘암을 포함한 침샘 종양의 진단을 위한 검사들을 내원 당일에 시행하고, 3~5일 후 결과를 확인합니다.
오른쪽 악하선에 생긴 침샘 종양
입천장에 있는 작은 침샘에서 생긴 침샘 종양
침샘암의 치료
침샘암은 대부분 수술로 치료를 시작합니다. 정확한 진단을 위한 목적도 있지만, 대부분 방사선치료나 항암화학요법(항암치료)에 잘 듣지 않기 때문입니다. 종양의 위치에 따라 수술의 과정이나 합병증이 상당히 다릅니다.
이하선암은 암 진행 자체로 혹은 수술을 할 때 안면신경 마비의 위험이 있습니다. 이하선의 가운데로 안면신경이 지나가기 때문입니다. 이에 비해 악하선암이나 설하선암의 수술은 상대적으로 덜 위험한 편입니다. 물론 침샘암의 악성도와 진행 정도에 따라 다양한 수술 합병증이 생길 수 있습니다.
부침샘의 침샘암은 암이 생긴 위치에 따라 수술 방법이 다릅니다. 예를 들어, 입안에 생긴 침샘암은 구강암 수술 방법을 따릅니다. 수술 후 조직검사에서 침샘암으로 확진된 경우에는 암의 악성도, 진행 정도에 따라 방사선치료를 추가하기도 합니다.
땡큐서울의원에서는 풍부한 수술 경험을 가지고, 대부분의 침샘암을 수술할 수 있습니다.
땡큐서울의원에서는 다양한 수술 방법과 합병증에 대해 자세히 설명하고 상담합니다. 안전하고 효과적인 수술이 될 수 있도록 최선을 다합니다. 수술 후 추가치료(방사선치료)가 필요한 경우에는 대학병원과 협진합니다.
모든 수술은 출혈, 염증 등 예상치 못한 합병증이 생길 수 있습니다. 전문의와 충분한 상담과 주의사항을 꼭 확인하시기 바랍니다. 대학병원에서 치료해야 하는 상태의 진행성 침샘암 환자는 신속하게 진료 받을 수 있도록 전원합니다.
침샘 종양의 약 70~80%는 양성
침샘종양은 귀밑(이하선)·턱밑(악하선)·혀밑(설하선) 등의 대침샘과 구강·인두 점막에 분포하는 소침샘에서 발생하는 종양입니다. 침샘에는 다양한 종류의 세포가 존재하기 때문에 조직학적 유형이 매우 다양하며, 세계보건기구(WHO)에서 분류한 침샘종양만 20여 종에 달합니다. 침샘 종양의 약 70~80%는 양성이며, 이하선에서 가장 많이 발생합니다.
양성종양의 경우 귀 앞이나 턱 아래에 통증 없이 서서히 커지는 멍울로 나타나는 경우가 많습니다. 악성인 경우 안면신경을 침범하여 안면마비가 동반되거나 피부 유착, 경부 림프절 전이가 나타날 수 있습니다. 세침흡인세포검사만으로는 진단에 한계가 있어 수술로 종양을 제거한 후 조직검사로 최종 확진하는 것이 원칙입니다.
침샘종양과 침샘암 모두 초기에는
종양이 생긴 부위가 부어오르는 증상이
나타납니다.
귀 주변을 따라 V자 절개를 해 수술 흉터가 잘 보이지 않음
풍부한 수술경험과 노하우로 안면마비와 같은 합병증 최소화
* 수술법은 종양의 크기와 위치,
환자의 상황에 따라 달라질 수 있습니다.