THYROIDNODULE

THANQ

갑상선 결절

갑상선에 혹이 생기는 질환

땡큐서울의원 페이지 섹션 제목 - 갑상선 결절이란?갑상선 결절이란?

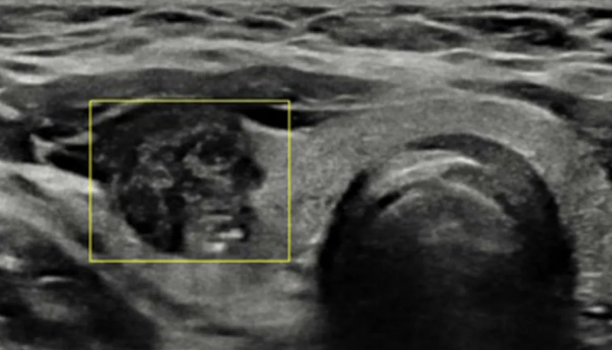
정의

갑상선 일부가 국소적으로 커지며 생기는 덩어리를 갑상선 결절이라 하며, 전체 인구의 약 5%에서 발견될 만큼 흔한 상태입니다. 대부분은 양성이고 악성(암)으로 확인되는 경우는 전체 결절의 5% 안팎에 불과하지만, 발견 시 악성 여부를 먼저 확인하는 것이 중요합니다. 양성으로 판단되면 갑상선 기능은 대개 정상적으로 유지되며, 결절이 매우 커져 주변 조직을 압박하지 않는 한 건강에 직접적인 위협이 되지는 않습니다.

땡큐서울의원_갑상선결절 초음파 이미지

양성결절

갑상선결절의 90~95% 이상이 양성으로, 갑상선 결절 환자의 대부분은 이 범주에 해당합니다. 양성결절은 주변 조직을 침범하거나 다른 부위로 전이될 가능성이 없으며, 갑상선 기능도 대부분 정상적으로 유지됩니다. 결절이 매우 커져 식도나 기도를 압박하거나 외형적으로 문제가 되지 않는 이상, 생명에 직접적인 영향을 주지 않으므로 과도하게 걱정할 필요는 없지만 정기적인 추적 관찰을 통해 확인하는 것이 권장됩니다.

악성결절 (갑상선암)

초기에는 증상이 거의 없어 발견이 늦어지는 경우가 많습니다. 진행되면 주변 조직과 장기를 침범하고, 목 림프절이나 폐·뼈 등 원격 부위로 전이될 수 있으며, 이 경우 생명에 영향을 줄 수 있어 적극적인 치료가 필요합니다. 다만 갑상선암의 대부분을 차지하는 유두암과 여포암은 예후가 좋아 조기에 발견하면 완치율이 매우 높습니다. 따라서 세포검사를 통해 악성 여부를 정확히 확인하고, 전문의와 충분히 상담하여 치료 방침을 결정하는 것이 중요합니다.

땡큐서울의원 페이지 섹션 제목 - 갑상선 결절 의심증상갑상선 결절 의심증상

[결절이 의심되는 경우]

목에 멍울이 잡히는 경우
음식물을 삼키기 어려운 경우
갑상선이 튀어나온 경우
체온, 체중 등 기초대사에 이상이 있는 경우

[주의가 필요한 경우 (악성 의심 징후)]

결절이 매우 딱딱하게 만져질 때
결절이 있는 쪽의 림프절(옆목)이 같이 만져질 때
결절이 커지면서 목소리 변화가 동반될 때
가족 중 갑상선암 내력이 있는 경우
땡큐서울의원_갑상선 결절 의심증상 목 이미지

땡큐서울의원 페이지 섹션 제목 - 갑상선 결절, 치료방법은?갑상선 결절, 치료방법은?

양성결절

작은 양성결절은 특별한 치료 없이 경과를 지켜보는 것으로 충분합니다. 다만 결절의 크기가 커지거나 식도·기도 압박 등의 증상이 동반되는 경우에는 수술, 고주파절제술, 알코올 경화요법 등의 방법으로 치료를 진행합니다. 치료 방법은 결절의 크기·형태·증상 정도에 따라 전문의와 상담 후 결정합니다.

악성결절 (갑상선암)

1cm 미만의 작은 갑상선암이거나 림프절 전이 소견이 없는 경우, 환자의 연령과 건강 상태를 고려해 성장 속도가 느리다고 판단되면
6개월 간격 초음파검사를 통한 추적관찰을 권고합니다. 이 기간 동안 크기 변화나 전이 여부를 면밀히 확인합니다.

결절의 크기가 크거나 주변 조직 침범, 림프절 전이 가능성이 높은 경우에는 적극적인 갑상선암 치료가 이루어져야 합니다.

ThanQ Support
갑상선결절 세포검사, 조직검사

갑상선결절 세포검사, 조직검사

갑상선 결절, 병원에 가면?

갑상선 결절, 병원에 가면?

갑상선 결절 Q&A

갑상선 결절 Q&A

THANQ

갑상선 결절(양성종양)

암(=악성종양)이 아닌 양성종양, 추적 관찰

땡큐서울의원 페이지 섹션 제목 - 땡큐서울의원 갑상선 양성종양땡큐서울의원 갑상선 양성종양

암이 아닌 종양을 양성종양이라 하며, 갑상선 초음파에서 발견된 결절에 대해 세포검사를 시행했을 때 악성 소견이 확인되지 않으면 갑상선 양성종양으로 분류합니다.

갑상선 양성종양은 생명을 위협하는 경우가 드물어 반드시 치료가 필요한 것은 아닙니다. 다만 결절이 상당한 크기로 커질 경우, 외형적으로 눈에 띄거나 음식을 삼킬 때 이물감이 생기거나, 기도를 눌러 호흡에 불편함을 초래할 수 있습니다.

이런 증상이 나타나면 양성이더라도 치료를 고려해야 합니다. 또한 증상이 뚜렷하지 않더라도 추적 관찰 중 크기가 빠르게 증가하고 있다면, 더 커지기 전에 미리 치료를 받는 것이 바람직합니다.

갑상선 양성종양 치료해야 할까?

갑상선에 생긴 비정상적인 혹(종괴, 종양)을 갑상선결절이라고 부릅니다.
갑상선결절의 90% 이상은 양성결절(양성종양)으로 악성결절(갑상선암)과 달리
생명에 지장을 주지 않습니다.

1
당일 세포검사(조직검사)
양성인지 악성인지 확인합니다.
2
검사 결과에 따라
치료 여부를 결정합니다.

양성종양으로 확인되었지만 미용적인 혹이나
기능적인 문제를 초래하는 경우,
크기가 매우 큰 경우에는 치료하는 것이 좋습니다.

땡큐서울의원 갑상선 양성종양 CT소견 (횡단면)
땡큐서울의원 갑상선 양성종양 CT소견 (관상면)

(갑상선 양성종양의 CT소견.
갑상선 엽절제술로 치료하였습니다.)

갑상선 양성종양의 치료는 전통적으로 수술이 표준이었습니다. 수술은 병변을 한 번에 완전히 제거할 수 있다는 장점이 있지만, 종양 주변의 정상 갑상선 조직이 함께 절제된다는 한계가 있습니다. 종양만을 선택적으로 제거하는 방식은 임상적으로 적합하지 않아, 갑상선의 절반을 제거하는 엽절제술(반절제술)이 표준 수술법으로 자리잡고 있습니다.

최근에는 수술 전에 비수술적 치료를 우선 검토하는 방향으로 접근이 바뀌고 있습니다. 다만 결절의 크기가 지나치게 크거나 세포검사 결과가 불명확한 경우에는 수술적 절제가 적합합니다. 양성종양 수술은 갑상선암 수술과 동일한 과정으로 진행되며, 수술 시 혹의 크기가 대체로 더 큰 경향이 있습니다. 발생 가능한 합병증의 종류도 갑상선암 수술과 동일하게 고려해야 합니다.

갑상선 결절의 세포검사 결과 보고를
위한 베데스다 시스템

진단 범주 악성일 확률(%) 일반적인 치료*
비진단적 혹은 불충분 (Nondiagnostic or Unsatisfactory) 1 – 4 세침흡인 세포검사 재시행
양성 (Benign) 0 – 3 경과 관찰
비정형 (Atypia of Undetermined Significance or
Follicular Lesion of Undetermined Significance)
~5 – 15 세침흡인 세포검사 재시행
여포성 종양 혹은 여포성 종양 의심 (Follicular Neoplasm or Suspicious for a Follicular Neoplasm) 15 – 30 수술(갑상선 엽절제)
악성 의심 (Suspicious for Malignancy) 60 – 75 수술(갑상선 전절제 혹은 엽절제)
악성 (Malignant) 97 – 99 수술(갑상선 전절제)
표를 좌우로 밀어서 확인하세요
THANQ

갑상선 양성종양 비수술적 치료

갑상선 절제술, 고주파열치료술, 알코올경화술

갑상선 결절이 양성으로 확인된 경우에는 즉각적인 치료 없이 정기적인 추적 관찰로 경과를 지켜볼 수 있습니다. 다만 결절의 크기가 커져 목 부위에 이물감이 느껴지거나 외형적으로 눈에 띄는 경우, 또는 식도나 기도 등 주변 조직을 압박해 호흡이 불편하거나 음식을 삼키는 데 지장이 생길 때는 적극적인 치료가 필요합니다.

치료가 결정된 경우에는 결절의 성질에 따라 방법을 달리합니다. 단단한 덩어리 형태의 고형 결절에는 고주파 치료술이, 액체가 찬 물혹(낭종) 형태의 결절에는 알코올 경화술이 각각 효과적입니다.

비수술적 치료 비교

갑상선 양성종양은 형태에 따라 크게 고형(덩어리진 혹)인 경우와
낭성(물혹)인 경우로 나눌 수 있습니다.

고주파열 치료술

바늘 끝에서만 열이 발생되는 장치를 종양에 찔러 넣어 종양세포를 열로 익혀서 죽게 만드는 시술입니다.

죽은 세포들은 몸에서 천천히 제거하게 되어 종양의 크기가 천천히 작아집니다.

고형의 양성종양 치료에 효과적

알코올 경화술

순도가 매우 높은 알코올을 넣어서 세포를 손상시키는 시술 방법입니다.

물혹의 액체 성분을 제거한 후 알코올을 채워 넣어 물혹의 벽을 이루는 세포를 죽게 만듭니다.

낭성의 양성종양 치료에 효과적

ThanQ Support
갑상선결절의 비수술적 치료

갑상선결절의 비수술적 치료

THANQ

고주파열 치료술

고주파 열로 결절을 태워(소작) 크기를 줄이는 시술

갑상선 결절이 양성으로 확인된 경우에는 즉각적인 치료 없이 정기적인 추적 관찰로 경과를 지켜볼 수 있습니다. 다만 결절의 크기가 커져 목 부위에 이물감이 느껴지거나 외형적으로 눈에 띄는 경우, 또는 식도나 기도 등 주변 조직을 압박해 호흡이 불편하거나 음식을 삼키는 데 지장이 생길 때는 적극적인 치료가 필요합니다.

치료가 결정된 경우에는 결절의 성질에 따라 방법을 달리합니다. 단단한 덩어리 형태의 고형 결절에는 고주파 치료술이, 액체가 찬 물혹(낭종) 형태의 결절에는 알코올 경화술이 각각 효과적입니다. 아래에서는 고주파 치료술에 대해 자세히 살펴보겠습니다.

땡큐서울의원_고주파 절제술 갑상선 일러스트

양성결절 비수술적 치료

고주파열 치료술

고주파 열을 이용하여 결절의 크기를 줄이는 치료방법으로,
1~2mm 두께의 미세한 바늘 모양의 전극을 결절에 찔러 넣고
90~100도의 고주파 열로 결절을 태우는 치료방법입니다.

고주파 치료술은 결절을 완전히 제거하는 방식이 아니라, 결절의 크기를 단계적으로 줄여 나가는 시술입니다. 피부와 갑상선 주변 조직에 국소마취를 시행한 뒤, 1~2mm 두께의 바늘형 전극을 결절 내부에 삽입하고 고주파 에너지로 90~100도의 열을 발생시켜 결절 조직을 응고·괴사시키는 원리입니다. 시술 직후 1~2주간은 조직 반응으로 오히려 결절이 일시적으로 커 보일 수 있으나, 이후 점차 줄어들어 1~2개월 후부터 호전을 체감할 수 있습니다.

고주파 치료술은 정상 갑상선 조직을 그대로 보존하면서 결절만 선택적으로 줄일 수 있는 비교적 간단하고 안전한 시술입니다. 단, 반드시 악성 가능성이 배제된 경우에만 시행할 수 있습니다. 이를 위해 시술 전 세포검사를 2회 실시하여 양성임을 확인하는 것이 원칙이며, 초음파 소견상 양성 가능성이 매우 높다고 판단될 경우에는 1회 검사로 갈음하기도 합니다.

ThanQ Support
고주파치료, 어떻게 하는건가요?

고주파치료, 어떻게 하는건가요?

THANQ

알코올 경화술

알코올을 채워 넣어 세포를 손상시키는 시술

고형 결절에는 고주파 절제술이 적합하지만, 액체가 찬 물혹(낭종) 형태의 결절에는 알코올 경화술이 더 효과적입니다. 알코올 경화술은 고농도 알코올을 결절 내부에 주입하여 세포를 손상·수축시키는 치료법입니다. 결절 부위에 마취를 시행한 뒤 바늘을 삽입하여 낭종 안의 내용물을 먼저 흡인해 제거합니다.

이후 생리식염수로 낭종 내부를 수차례 세척한 다음, 낭종 용적의 절반 정도에 해당하는 양의 알코올을 주입합니다. 약 2~5분 뒤 주입된 알코올을 다시 빼내는 과정으로 시술이 마무리됩니다. 이때 알코올이 주변 조직으로 새어 나가면 통증이 생길 수 있어 시술 중 세심한 주의가 필요합니다. 시술 후에는 수개월 간격으로 초음파검사를 통해 치료 효과와 재발 여부를 정기적으로 확인합니다.

땡큐서울의원_알코올 경화요법 갑상선 일러스트

낭성(물혹) 양성결절 비수술적 치료

알코올 경화술

알코올 경화술은 물혹의 액체 성분을 제거한 후 순도가 매우 높은
알코올을 채워 넣어 세포를 손상시켜 물혹을 유착시킵니다.

알코올 경화술은 순도가 매우 높은 알코올을 물혹 내부에 주입하여 세포를 직접 손상시키는 방식의 시술입니다. 액체가 차 있는 낭성 종양의 치료에 특히 효과적이며, 먼저 물혹 안의 액체 성분을 바늘로 흡인해 제거한 뒤 그 자리에 알코올을 채워 넣어 물혹의 벽을 구성하는 세포를 괴사시키는 원리로 작동합니다.

시술 후에는 물혹이 점차 수축하면서 크기가 줄어들게 됩니다. 시술 중 알코올이 주변 조직으로 새어 나가면 통증이 유발될 수 있어 세심한 주의가 필요하며, 이후 수개월 간격으로 초음파검사를 통해 치료 효과와 재발 여부를 지속적으로 확인합니다.

모든 수술은 출혈, 염증 등 예상치 못한 합병증이 생길 수 있습니다. 전문의와 충분히 상담하시고, 주의사항을 꼭 확인하시기 바랍니다.
땡큐서울의원
진료시간
THANQ SUPPORT